Skip Menu
Continue
Call
Today
for a Free Consultation
551 Fifth Avenue, Suite 625, New York, NY 10017
(212) 764-0440
Home
About Us
Insurance and Financial Options
New Patients
Testimonials
Our Doctor
Azadeh Akhavan, DDS
Services
Ceramic Crowns
Dental Bridges
Dental Cleanings
Dental Fillings
Dentures
Digital Impressions
Digital Radiography
Emergency Treatment
Extractions
Invisalign
®
Night Guards
Oral Cancer Screening
Oral Exams
Pediatric Dentistry
Periodontal Treatment
Preventive Program
Snoring Appliances
Sports Mouthguards
Teeth Whitening
Veneers
View All
Smile Gallery
Dental Health
Book Now
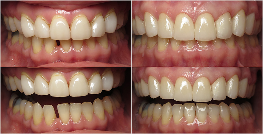
Smile Gallery
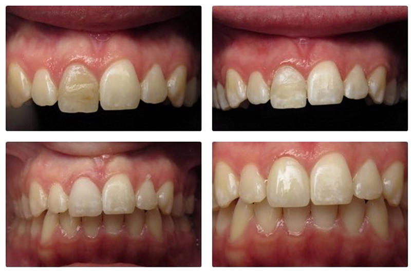
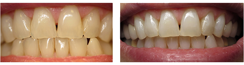
Porcelain Veneers
Before
After
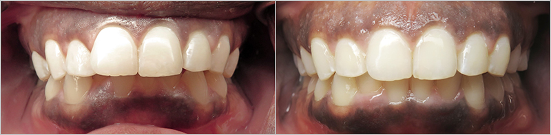
Before
After
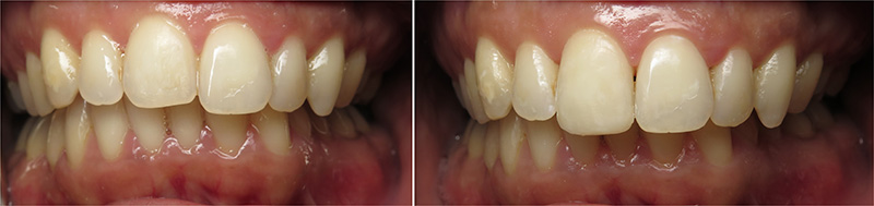
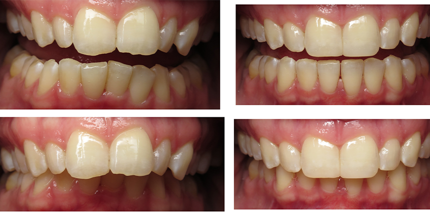
Composite
Before
After
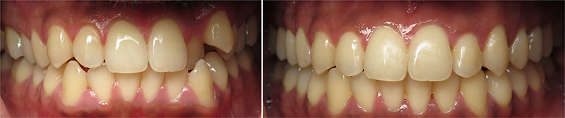
Invisalign
Before
After
Invisalign
Before
After
Invisalign and Porcelain Veneers
Before
After
Invisalign and Composite Veneers
Before
After
Invisalign and Composite Bonding
Before
After
Before
After
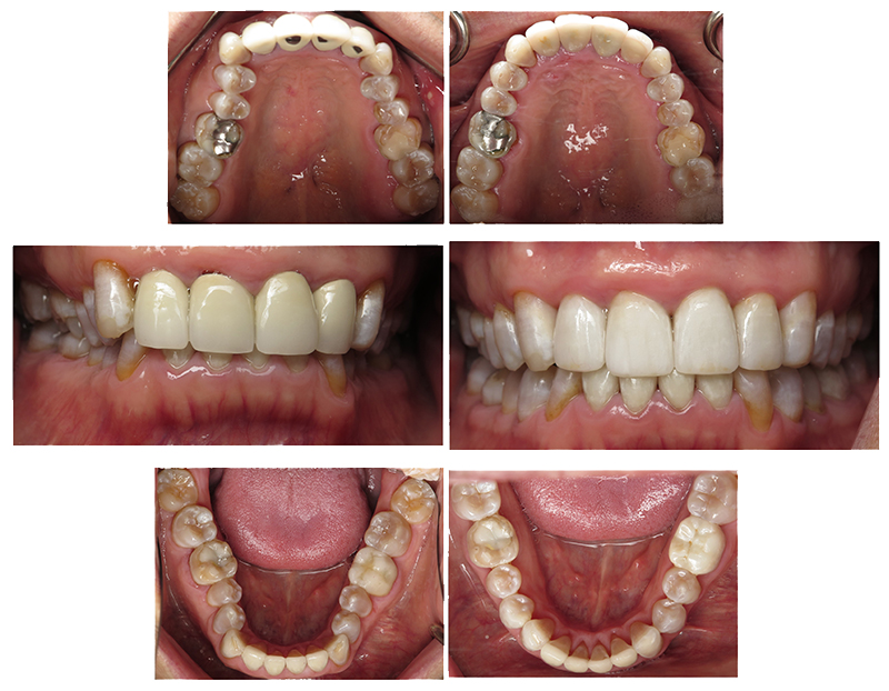
Invisalign and Crowns
Before
After
Invisalign in Progress
Before
After
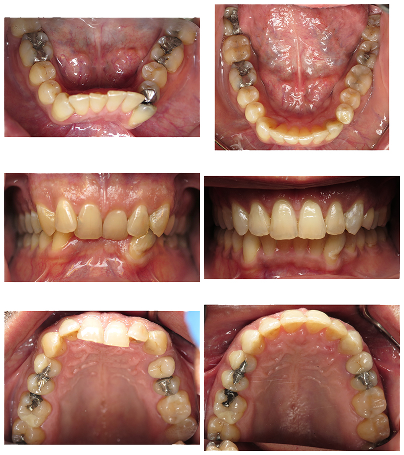
Full Mouth Restoration in Progress
Before
After
Bleaching
Before
After
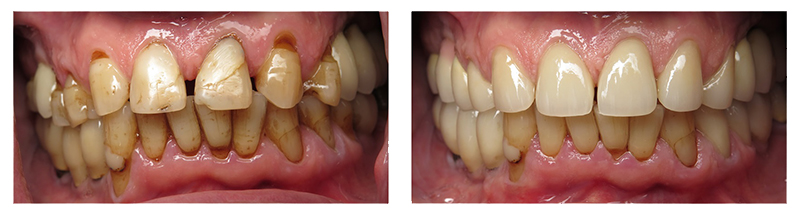
Single Crown and Bleaching
Before
After
551 Fifth Avenue, Suite 625
New York, NY 10017
(212) 764-0440
Book Now
Contact Us